下腿骨骨折(脛骨骨折、腓骨骨折)の基礎知識 point 下腿骨骨折(脛骨骨折、腓骨骨折)とは すねの骨は脛骨と腓骨の2本からなりますが、下腿骨骨折はそのうち一方または両方が骨折することで、交通事故やスポーツ、転倒が原因で起こることが多いです。脛骨疲労骨折 治療期間 脛骨の髄内釘手術や超音波治療の体験談について、当記事ほどリアルなものはないと思うので、「疲労骨折が治らなくて苦しんでる!」とか、「超音波治療の効果を知りたい!」「髄内釘手術をするか否かで迷ってる!」という人は、ぜ 脛骨跳躍型疲労骨折は、脛骨 (すねの経過期間は5カ月から4年,平均7カ月であっ た。合併症として,靱帯損傷を5例に,半月板 損傷を3例に,大腿骨内顆骨折を1例に,両下 肢多発骨折を1例に認めた(表2)。 骨折型によって分類すると,Hohlの分類4) ではsplit depression型が8例を占め,我々の
足首の骨折の治療とリハビリ Medleyニュース
脛骨骨折 ギプス 期間
脛骨骨折 ギプス 期間- 脛骨近位端骨折の分類と骨癒合までの期間 脛骨近位端骨折は高原骨折やプラトー骨折とも呼ばれます。 プラトーは英語で「高原」のことで、関節面の形を例えているとされています。 荷重関節の関節内骨折であり、半月板損傷や靭帯損傷を合併しやすい 1、脛骨高原骨折のアプローチ方法 脛骨は大腿骨と膝関節の1つである脛骨大腿関節を構成します。 骨折後は手術による固定やギプス固定が行われます。 なので脛骨大腿関節を不用意に動かすと周囲組織の損傷を招く可能性があります。 なので急性期の



足首の骨折の治療とリハビリ Medleyニュース
脛骨・腓骨骨折 (入院~手術後まで) 夫が転んで足を骨折し、入院・手術しました。 その経過記録です。 (水) お昼過ぎに「足怪我して今病院にいる」と電話が入る。 この日はたまたま母が整形外科の通院日になっており、夫は病院で私の 前回の話はこちら↓ 5.ギプス治療(近所の整形外科受診〜脱ギプス) ー車椅子の手配は必須ー 帰宅後、かかりつけの整形外科を受診するようにと赤十字病院で言われていました。次の日の朝、家から5分のところにある整形外科へ。といっても、車椅子がなければ移動できません。骨折の後遺症のリスクより大きいと判断される場合は、 手術ではなく、 膝関節をシーネやギプスなどで 動かないように固定して、 骨がくっつくのを待ちます。 脛骨高原骨折の治療期間:完治までの期間は? 脛骨高原骨折の完治までの期間が
骨折の腫れは結局、いつまで続くの? (腫れの期間) この骨折の腫れはいつまで続いてしまうのか? ということですが、 これはここまで述べたとおり、それぞれ腫れの原因ごとに期間が変わってきます。 最初の出血や強い炎症による強い腫れは最初の 足の骨折の場合、松葉杖などを使ってギプス期間は足を使わないため、筋力が衰えます。 そこで、リハビリの主題は 足の筋力回復 。 まず、少しずつ足に体重をかけるリハビリから開始します。 いきなり体重をかけすぎると再び骨折する場合も。 前回の話はこちら↓ 3.骨折診断(病院到着〜ギプス装着) ー痛みで悲鳴をあげながらのレントゲン撮影ー 赤十字病院は、駅徒歩10分の場所にあります。これは本当にありがたいことでした。車椅子を借り(大人用の車椅子なら座面に脚を伸ばせるので、痛みを感じず座れました)、警備
子供の骨折、完治までの期間は? 子供は大人と違い、骨膜が丈夫かつ柔軟性が高いので、回復が早いもの。 といってもやはり最低でも、 ギブスが取れるまで2週間~6週間 はかかります! そして、ギブスが取れたからといって完治ではないのでご注意を 交通事故の被害に遭い、脛骨骨折や腓骨骨折の怪我を。 その後、もしも後遺症が残ってしまったとしたら。 これからも長く続く治療やリハビリの生活では、 脛骨骨折・腓骨骨折から回復するために支払う治療費 怪我をしたことや後遺症が残ったことによる精神的苦痛に対する慰謝料ギプスについて説明します。 ウイキペディアによりますとギプス(独 Gips、英 cast)は、骨折・靭帯損傷などの治療において患部が動かないよう外から固定・保護し安静を保つ為に用いられる包帯材料もしくは包帯法の略称で、整形外科などの医療機関で使用されるものです。



脛骨 腓骨の骨折 動物病院 京都 京都市内北区 上京区 右京区他 年中無休 夜間救急



池田医院 整形外科 外科 リハビリ
膝蓋骨骨折 の場合、軽症のものを除き基本的に手術が行われます。 ただしご高齢の方や心臓、肺、その他の臓器に持病がある方などで手術を行うリスクが大きい場合などは、ギプスで固定しながら自然に骨がつくのを待つこともあります。 膝蓋骨骨折 は 骨折の再生過程は前述しましたが、この期間は実は骨折部が動かなかった場合の期間なのです。 例えばギブス骨折後は固定をしますよね? ギブス固定をしなかった場合、骨が再生されないこともあります。 ギブス固定がされないと骨折部がぐらぐら動きギプスをつけているとき・手術したとき 療養中の注意点と快適に過ごすためのポイントを紹介します。 患部を高くあげる(挙上) 骨折部の周辺は、炎症による腫れと、固定して動かせないためにむくみ



腓骨骨折の後遺症とは 手術とリハビリで完治する スポーツ復帰に必要な治療期間は アトム法律事務所弁護士法人



足首の骨折の治療とリハビリ Medleyニュース
「ギプスでは血行障害が心 配だけど,シーネでは固定力が足りなくて骨折が転位しないか不安」というときに使 います(図2)。 2章 シーネ・ギプスの使い方 2 シーネの使い方 野間未知多 図1 シーネの固定範囲 a:骨幹部骨折の2関節固定 b:遠位端骨折の1



今回も手術なしで 骨折保存療法がいできました 東海最大級の接骨院院長のブログ



骨折 捻挫の治療例 3 麹町白石接骨院



足関節骨折でギプス巻いて外したら 足の母趾の動きが悪くなり復帰できません 福岡市城南区の整形外科 タケダスポーツクリニック



外傷 骨折 医療法人社団研宣会 広瀬病院



右脛骨高原骨折に対する超音波骨折治療の適応 大野接骨院 ハートプラン研究所



1分間でコレだけは覚えるコレだけシート 035 脛骨骨幹部骨折 臨床ナース メディカlibrary



医療法人社団 リラ整形外科クリニック



骨折日記 脛骨 腓骨 79 骨折から全快までの記録のまとめ 13 7 31 サロメ スタイル



膝のお皿の骨折 岐阜新聞web



骨折 捻挫の治療 にしぼり整形外科 茨城県笠間市



パルアップ ダーさんレポート 波を食らって右足を骨折しちゃいました ジェットスキー 水上バイク ワールドジェットスポーツマガジン



チャオ動物病院 江坂



腓骨遠位骨端線損傷 小児の骨折と成人の骨折ではどう違うの 古東整形外科 リウマチ科



脛骨高原骨折 プラトー骨折 の症状 治療 リハビリ 全知識



脛骨高原骨折の後遺症 症状 リハビリ 治療法 後遺障害慰謝料も紹介



骨折 捻挫の治療例 3 麹町白石接骨院



下腿開放骨折の症状 診断 治療 骨 筋肉 関節の病気 All About



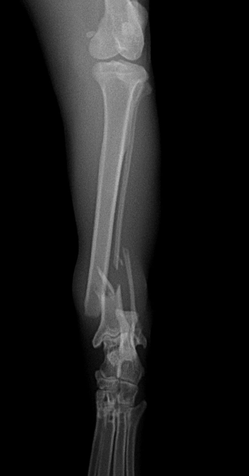
症例報告 5歳 女児 脛骨遠位端骨折 子供の足首の骨折 やまもと接骨院 岐阜県笠松町 岐南町のほねつぎ 接骨院



脛骨腓骨骨折 髄内釘 抜釘手術の費用や治療後の経過についてレポート にちプチ Nichi Petit



脛骨近位端骨折の症状 診断 治療 骨 筋肉 関節の病気 All About



脛骨後果骨折 便利グッズ特集 松葉杖編 おとなの予防歯科



チャオ動物病院 江坂



骨折が治りました ちなみに全治と完治の違いってご存じですか 八丈島のくさや屋さん 長田商店



5歳児の脛骨骨折治療記 ー骨折診断 病院到着 ギプス装着 ー まっちゃん Note



猫の骨折治療2 診療科目 国立市 ふく動物病院 ふく動物病院 国立市 府中市 国分寺市 立川市 整形外科 腫瘍科



痛みの話q A 八王子整形外科 西八王子駅近くの整形外科専門クリニック



骨折イラスト



脛骨腓骨 骨折日記



骨折日記 脛骨 腓骨 79 骨折から全快までの記録のまとめ 13 7 31 サロメ スタイル



池田医院 整形外科 外科 リハビリ



腓骨骨折の後遺症とは 手術とリハビリで完治する スポーツ復帰に必要な治療期間は アトム法律事務所弁護士法人



脛骨プラトー骨折 一般社団法人 日本骨折治療学会 骨折の解説



猫の骨折治療2 診療科目 国立市 ふく動物病院 ふく動物病院 国立市 府中市 国分寺市 立川市 整形外科 腫瘍科



第5中足骨基部裂離骨折 下駄骨折 森ファミリー接骨院 名古屋市中川区 港区



脛骨高原骨折 分類



骨折 捻挫の治療 にしぼり整形外科 茨城県笠間市



右脛骨高原骨折に対する超音波骨折治療の適応 大野接骨院 ハートプラン研究所



脛骨 腓骨骨折 髄内釘固定術ってどんな手術 メリットデメリットを紹介 にちプチ Nichi Petit



リハビリ室コラム Span Class Smalltitle Rehabilitation Column Span 横浜市スポーツ医科学センター公式サイト



5歳児の脛骨骨折治療記 ーギプス治療 近所の整形外科受診 脱ギプス ー まっちゃん Note



スポーツ外傷 障害 はっとり整形外科 リウマチ科クリニック リハビリ スポーツの怪我



脛骨骨折 腓骨骨折の後遺症 回復へのリハビリや治療費 慰謝料などの示談金は 交通事故の弁護士カタログ



猫の骨折治療2 診療科目 国立市 ふく動物病院 ふく動物病院 国立市 府中市 国分寺市 立川市 整形外科 腫瘍科



ネコちゃんの脛骨骨折の治療 症例報告 動物病院をお探しの方にお役立てになれる最新情報を発信 大阪市の動物病院はフジタコーポレーション株式会社



2



腓骨遠位端骨折 捻挫による足関節の骨折 古東整形外科 リウマチ科



5歳児の脛骨骨折治療記 ーリハビリテーション リハビリの開始 完治 ー まっちゃん Note



中足骨疲労骨折 おおつか整形外科blog



下腿の骨幹部骨折 一般社団法人 日本骨折治療学会 骨折の解説



骨折が治りました ちなみに全治と完治の違いってご存じですか 八丈島のくさや屋さん 長田商店



骨折 あさか台動物病院 朝霞市 動物病院



脛骨高原骨折 プラトー骨折 の症状 治療 リハビリ 全知識



図解 骨折治療の進め方 第3版 書籍詳細 書籍 医学書院



骨折の続報 院長ブログ さくらんぼクリニック 山形県東根市の内科 整形外科医院



骨折 捻挫の治療 にしぼり整形外科 茨城県笠間市



2



右脛骨高原骨折に対する超音波骨折治療の適応 大野接骨院 ハートプラン研究所



下腿の骨幹部骨折 一般社団法人 日本骨折治療学会 骨折の解説



腓骨骨折 ひこつこっせつ 横浜市保土ヶ谷区の横山医院



脛骨近位部骨折とは 医療総合qlife



脛骨骨折 腓骨骨折の後遺症 回復へのリハビリや治療費 慰謝料などの示談金は 交通事故の弁護士カタログ



骨折 指



脛骨遠位部骨折 足関節骨折とは 医療総合qlife



足関節骨折でギプス巻いて外したら 足の母趾の動きが悪くなり復帰できません 福岡市城南区の整形外科 タケダスポーツクリニック



痛みの話q A 八王子整形外科 西八王子駅近くの整形外科専門クリニック



脛骨プラトー骨折 一般社団法人 日本骨折治療学会 骨折の解説



症例報告 5歳 女児 脛骨遠位端骨折 子供の足首の骨折 やまもと接骨院 岐阜県笠松町 岐南町のほねつぎ 接骨院



整形外科 東福岡たぬま動物病院



疲労骨折 Ar Ex スポーツ 難治性疼痛外来



難治骨折診 帝京大学医学部 整形外科学講座



こどもが骨折してしまった ひょっとして骨折 一般社団法人 日本骨折治療学会 骨折の解説



腓骨の疲労骨折 今回は腓骨という 下腿の細い方の骨の話題です 福岡市城南区の整形外科 タケダスポーツクリニック



脛骨骨折 骨折 整形外科 診療科目 エルムス動物医療センター



原因と症状 治療法



1



脛骨近位端骨折の症状 診断 治療 骨 筋肉 関節の病気 All About



骨折症例集 こみね鍼灸整骨院



こどもが骨折してしまった ひょっとして骨折 一般社団法人 日本骨折治療学会 骨折の解説



左脛骨高原骨折 今シーズンのゲレンデレポートは終了ですかね 左脛骨高原骨折 療養日記



右脛骨高原骨折に対する超音波骨折治療の適応 大野接骨院 ハートプラン研究所



17歳 男子 ラグビー 脛骨 腓骨両骨骨折 つばさ鍼灸整骨院 株 For All Athlete Facebook



脛骨骨折と後遺障害 東京都で後遺障害 交通事故なら医療資格保有弁護士のハビリス法律事務所へ



すねの痛み 脛骨疲労骨折 よくある症状 疾患 札幌スポーツクリニック 札幌市中央区の整形外科 内科 リハビリ科



脛骨高原骨折 Wikipedia



右足果部腓骨 脛骨骨折 復帰までの記録 リハビリ 登山復帰まで ムカデのおにいさんのブログ



スキーで骨折した小学1年生のギブスでの生活の様子やリハビリなどの記録 こどもとともに



脛骨近位端骨折の症状 診断 治療 骨 筋肉 関節の病気 All About



脛骨骨折治療の術前シミュレーション 医療用シミュレーターのjmc Lab



入院生活5日目 左脛骨高原骨折 療養日記



足首の骨折で歩けるまでの期間を短縮するポイント 手術or保存治療



足首の骨折 左足 腓骨 脛骨骨折 神奈川県川崎市の接骨院はむさしなかはら接骨院



下腿開放骨折の症状 診断 治療 骨 筋肉 関節の病気 All About



骨折の治療 都立大整形外科クリニック



腓骨遠位端骨折 捻挫による足関節の骨折 古東整形外科 リウマチ科



症例報告 5歳 女児 脛骨遠位端骨折 子供の足首の骨折 やまもと接骨院 岐阜県笠松町 岐南町のほねつぎ 接骨院



脛骨骨幹部 腓骨骨幹部骨折による後遺障害 後遺症 交通事故弁護士による後遺障害相談



脛骨骨幹部骨折の後遺障害等級と申請のポイント 交通事故に強い弁護士への相談サイト 咲くやこの花法律事務所



脛骨骨折 骨折 整形外科 診療科目 エルムス動物医療センター



こどもが骨折してしまった ひょっとして骨折 一般社団法人 日本骨折治療学会 骨折の解説



脛骨プラトー骨折 一般社団法人 日本骨折治療学会 骨折の解説


0 件のコメント:
コメントを投稿